Гастрит
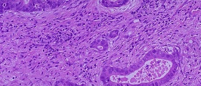
Захворювання ШКТ лідирують серед всіх ракових захворювань. Недиференційований рак шлунка відрізняється
Досить ефективним методом лікування раку шлунка содою. Речовина здатна проникати в кисле середовище навколо
Злоякісна пухлина, що вразила епітеліальний шар слизової органу травлення, називається рак шлунка.
Рак головного травного органу — одне з найбільш поширених онкологічних захворювань. Лікування раку шлунка
«Герцептин» при раку шлунка вважається чинним протипухлинним засобом, що покращує самопочуття хворого
Такий вид патології, як перстневідноклеточний рак шлунка є поширеним видом онкологий, які вражають травну систему.
Кожна людина стикався з такою проблемою, як гази в шлунку і кишечнику. Такий патологічний стан обумовлено
Розлади травлення — диспепсія у дітей, виникають із-за порушення роботи органів шлунково-кишкового тракту.
Термін «функціональна диспепсія» позначає набір зовнішніх проявів, які вказують на порушення функції
Нерідко після їжі, сильного фізичного перевтоми або прийому шкідливої їжі людини турбує пульсація в області шлунка.
Найбільш поширеною причиною звернення до гастроентеролога є нетравлення шлунка. Відхилення спостерігається
Диспепсія або нетравлення шлунка у дитини зустрічається досить часто і може супроводжуватися різними
